La pandemia del coronavirus no solo está dejando miles de fallecimientos en el mundo, sino también importantes secuelas en buena parte de los pacientes graves con Covid-19.
La lista de efectos que el virus puede tener sobre la salud, es larga e imprecisa; sin embargo, poco a poco va sabiéndose cada más.
Investigadores de la Fundación Jiménez Díaz de Madrid,a través de su Instituto de Investigación Sanitaria (IIS-FJD), han realizado un importante estudio para determinar qué daños provoca el Covid en los pulmones y la médula ósea, los órganos más afectados por la infección.
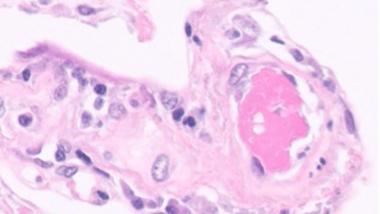
Para ello, han llevado a cabo, entre los meses de marzo y abril, 33 biopsias post morten que han permitido determinar que el Covid-19 desencadena una respuesta inflamatoria descontrolada mediada por macrófagos, células del sistema inmunitario, que “en la médula ósea, muestran lesiones de fagocitosis tipo síndrome hemofagocítico, la base del síndrome de activación de macrófagos (MAS)", explica el Dr. Miguel Ángel Piris Pinilla, médico del Servicio de Anatomía Patológica e investigador del IIS-FJD.
"Las citoquinas liberadas en esta respuesta hiperinmune descontrolada -añade- producen lesiones endoteliales que llevan a la producción de microtrombos, como los presentes en las biopsias pulmonares".
Los resultados de la investigación, que han sido publicados en Modern Pathology, principal revista científica internacional del ámbito de la Patología, son especialmente significativos, dado que como existen muy pocos estudios de estas características en fallecidos por coronavirus, “todavía “no se conocen totalmente los mecanismos de lesión tisular que provoca”, subraya el Dr. Piris. Esto ha hecho que el trabajo haya sido acogido con mucho interés fuera de España, sobre todo, en Estados Unidos y varios países de Latinoamérica, donde aún están en la primera ola.
"Nuestro objetivo con las biopsias y autopsias que estamos realizando es identificar el mecanismo lesional del virus y las células diana del mismo", subraya. En este sentido, recuerda, el estudio supone una “importante e innovadora aportación que ha permitido conocer mejor las bases y mecanismos histológicos de la patología causada por la Covid-19 sin necesidad de realizar autopsias, en un momento en el que estas no podían realizarse”.

Claves para el tratamiento
Además de los hallazgos relativos a la médula ósea, que constituyen la base para la tormenta de citoquinas, los autores del estudio ya dieron a conocer a la comunidad clínica a finales de marzo los resultados obtenidos en las biopsias pulmonares, coincidentes con los primeros resutados generados por otros equipos europeos. Hace ya casi cuatro meses se llamó la atención sobre las "lesiones de microtrombos en capilares alveolares, hallazgos que explican la insuficiencia respiratoria que desarrollan estos enfermos", relata este patólogo.
Esos datos hicieron entonces que se modificaran las pautas de tratamiento de los infectados y se introdujeran en las mismas anticoagulantes.
“Los datos de inmunohistoquímica y microscopia electrónica obtenidos ahora, que demuestran la presencia del coronavirus en neumocitos tipo 2, junto con las lesiones de histiocitosis hemofagocítica, continúan en esa línea, y apoyan la inclusión en el tratamiento para el COVID-19 de antiinflamatorios y anticoagulantes”, resume el Dr. Piris.
Trabajo multidisciplinar
En el desarrollo de la investigación han participado diferentes servicios de la Fundación Jiménez Díaz, como Medicina Interna, Enfermedades Infecciosas, Anatomía Patológica, Hematología, Neumología y la Unidad de Cuidados Intensivos. “La atención a pacientes de Covid-19 ha eliminado toda posible división entre departamentos”, aclara la Dra. Laura Prieto, especialista del Departamento de Enfermedades Infecciosas del Servicio de Medicina Interna, área que se ha encargado de coordinar la atención a los infectados.
“Hacía mucha falta entender lo que estaba pasando para poder tratar mejor a estos pacientes", recuerda esta médico, que resalta que al tratase de una enfermedad nueva su conocimiento “requiere estudios integrados”, y en estos, “la histopatología juega un papel esencial”.