Las listerias son un grupo de bacterias Gram positivas que contienen varias especies muy extendidas en el medio ambiente. Hay muchas clases, pero solo una de ellas, Listeria monocytogenes, es patógena para el ser humano. Ella es la responsable de los casos de listeriosis como los observados en el reciente brote de Andalucía.
Es una bacteria anaerobia facultativa, lo que quiere decir que es capaz de sobrevivir en presencia y en ausencia de oxígeno. L. monocytogenes se ha aislado de especies de mamíferos, aves, peces y crustáceos. Aunque no produce esporas, es bastante resistente en el ambiente exterior y su principal hábitat es el suelo y la materia vegetal. Su habilidad para crecer a temperaturas cercanas a 0 ⁰C le permite multiplicarse incluso dentro de la nevera.
Debido a su amplia distribución, la bacteria tiene muchas oportunidades de contaminar alimentos, que son los principales vehículos de transmisión para el ser humano. Hablamos de leche, quesos y otros productos lácticos no pasteurizados, vegetales frescos, pescado ahumado y carnes como el pollo y el pavo.
Listeria es uno de los patógenos transmitidos por alimentos más virulentos: puede causar la muerte a entre un 20 y un 30 % de los infectados. El motivo de esta letalidad se encuentra en su interesante biología.
La puerta de entrada a nuestro cuerpo es el tracto gastrointestinal. En la mayoría de las personas la listeriosis es una enfermedad leve, pero es peligrosa en personas de edad avanzada o con alguna enfermedad previa.
Las mujeres embarazadas son especialmente propensas a sufrir bacteriemia (presencia de bacterias en sangre), normalmente sin graves consecuencias para ellas. El problema es que la bacteria puede atravesar la placenta y causar una infección fetal, que puede llegar a ser mortal. L. monocytogenes tiene cierta predilección por el sistema nervioso central, por lo que es frecuente que produzca encefalitis.
Una maestra del camuflaje y la adaptación
Los macrófagos son células del sistema inmune que, cuando un microorganismo patógeno entra en nuestro organismo, se activan, lo persiguen y destruyen. Esto es posible gracias a unas vesículas que contienen enzimas que digieren a la bacteria. En otras palabras, el macrófago se come al microbio.
Este proceso biológico por el que algunas células sanguíneas especializadas ingieren y destruyen partículas extrañas, como los microorganismos, se denomina fagocitosis.
Pero L. monocytogenes es una bacteria peculiar. No solo es capaz de resistir la voracidad del macrófago, sino que incluso puede invadir otros tipos de células no fagocíticas, como epiteliales, del hígado e incluso neuronas. Una vez dentro, la bacteria puede crecer, reproducirse y moverse por el interior de la célula.
Esto es lo que se denomina un patógeno intracelular facultativo. Durante muchos años Listeria ha sido uno de los modelos más estudiados por microbiólogos y biólogos celulares para entender cómo una bacteria puede resistir la fagocitosis y multiplicarse en el interior de las células.
Lo que encontraron fue una historia fascinante.
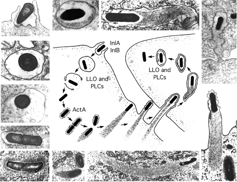
L. monocytogenes puede invadir las células. Para eso tiene una proteína en su superficie que se denomina internalina que, al unirse a otra proteína de la célula, promueve una cascada de reacciones entre la bacteria y la célula que acaba en la entrada del microorganismo. Se forma así una vacuola o fagosoma en el interior de la célula que contiene la bacteria en su interior.

A continuación, la bacteria tiene que escapar rápidamente de ese fagosoma, antes de que se fusione con otras vacuolas digestivas celulares (lisosomas) que la destruyan. Para eso, L. monocytogenes tiene todo un arsenal de toxinas capaces de romper la membrana de la vesícula que rodea a la bacteria y escapar al citoplasma de la célula.
Ahí, en el citoplasma, la bacteria se siente libre y puede moverse y multiplicarse por donde quiera. Para un microorganismo, el interior de una célula es como un mar lleno de nutrientes y, además, un lugar seguro. Ahí está escondida del ataque del sistema inmune del hospedador, de los anticuerpos que la bloquean, de los macrófagos que se la quieren comer y de los antibióticos.
Una vez en el citoplasma, L. monocytogenes se mueve por el interior de la célula. Para eso emplea una proteína que tiene en uno de sus extremos y que es capaz de ensamblar microfilamentos de actina (proteína que forma el citoesqueleto de la célula) en la superficie de la bacteria.
El ensamblaje de esos microfilamentos en unos de los polos de la bacteria forma una estructura que empuja al microorganismo en una dirección. Es como si se formara un cohete de actina, una cola de cometa que mueve a la bacteria por el citoplasma.
Pero no acaba aquí la historia. Gracias a este movimiento libre, L. monocytogenes puede pasar de una célula a otra, lo que extiende la infección por todo el tejido.
Este vídeo muestra imágenes reales y espectaculares de cómo estas bacterias se mueven por el interior de una célula:
Un caballo de Troya celular
La presencia de la bacteria en células fagocíticas como los macrófagos, que pueden moverse por el torrente circulatorio, le permite atravesar la placenta y acceder a otros órganos como el hígado y el cerebro. L. monocytogenes utiliza su capacidad de resistir y multiplicarse intracelularmente como un caballo de Troya para llegar a otros sitios dentro del cuerpo.
La extraordinaria biología de L. monocytogenes no acaba aquí. Además de en el interior de organismos y células, puede vivir en el suelo y en restos vegetales. Para sobrevivir en ambientes tan diferentes necesita adaptarse y saber dónde se encuentra.
L. monocytogenes, como otras bacterias, se comunica con sus compañeras y con el medio externo a través de un sistema de señales que se denomina quorum sensing. La bacteria recibe distintas señales según dónde se encuentre, de forma que puede regular la expresión (encender o apagar) de distintos genes de virulencia. Expresa distintos genes según esté en el intestino, en la sangre o dentro de una célula. Todo un maestro del camuflaje y la adaptación.
El estudio de la biología de L. monocytogenes como modelo de patógeno intracelular facultativo nos ha permitido entender mejor cómo una bacteria puede llegar a comunicarse con la célula y adaptarse a vivir en su interior.
Afortunadamente, L. monocytogenes no es una de esas “superbacterias” resistentes a los antibióticos, por lo que su tratamiento con antimicrobianos como la penicilina o la ampicilina suelen ser eficaces.
Más información sobre la listeriosis en Centros para el Control y la Prevención de Enfermedades.
Ignacio López-Goñi, Catedrático de Microbiología, Universidad de Navarra
Este artículo fue publicado originalmente en The Conversation. Lea el original.
Añadir ElPlural.com como fuente preferida de Google.
Mantente informado con las últimas noticias de actualidad.